大和・横浜で痛くない,切らない巻き爪治療 爪水虫にも対応

巻き爪矯正 ― 矯正症例

巻き爪の矯正症例

矯正前と矯正ケア後の写真をご紹介します。 当院のIS巻き爪矯正法は、肌を切らないので安心、安全です。 一回の施術で痛みから解放され、靴を履け入浴もできます。

*タイトルバーをクリックすると画像を表示します。

代表的施術例

1回の施術実施

長期のハイヒール靴使用による巻き爪

矯正前

2ヶ月後

5ヶ月後

透析の患者様

矯正前

2ヶ月後

5ヶ月後

糖尿病患者様

矯正前

2ヶ月後

4ヶ月後

6ヶ月後

爪の切り過ぎによる巻き爪

矯正前

3ヶ月後

5ヶ月後

スポーツ障害による巻き爪

矯正前

2ヶ月後

4ヶ月後

6ヶ月後

水虫感染の手指巻き爪

矯正前

3ヶ月後

足の巻き爪

矯正前

矯正後


矯正前

矯正後


矯正前

矯正後

ワイヤーを取り外した巻き爪

ワイヤーを施術後が痛いため来院、ワイヤーを取り外して施術した例

その他の症例

巻き爪、タコ、魚の目等があると症例に示すように、様々な症状を呈します。
早いうちに処置をして快適な生活を心がけましょう。

魚の目の処置

施術前

施術後

歩行困難になる、タコ・魚の目

タコ

魚の目

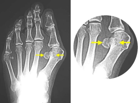
母趾種子骨炎

足裏の親指の付け根の部分が痛みます

母趾種子骨に体重が集中しています

母趾種子骨炎の治療

足に合わせた中敷き

足のしびれ・痛み

腰髄

腰椎すべり症

頸椎椎間板ヘルニヤ

ページトップへ